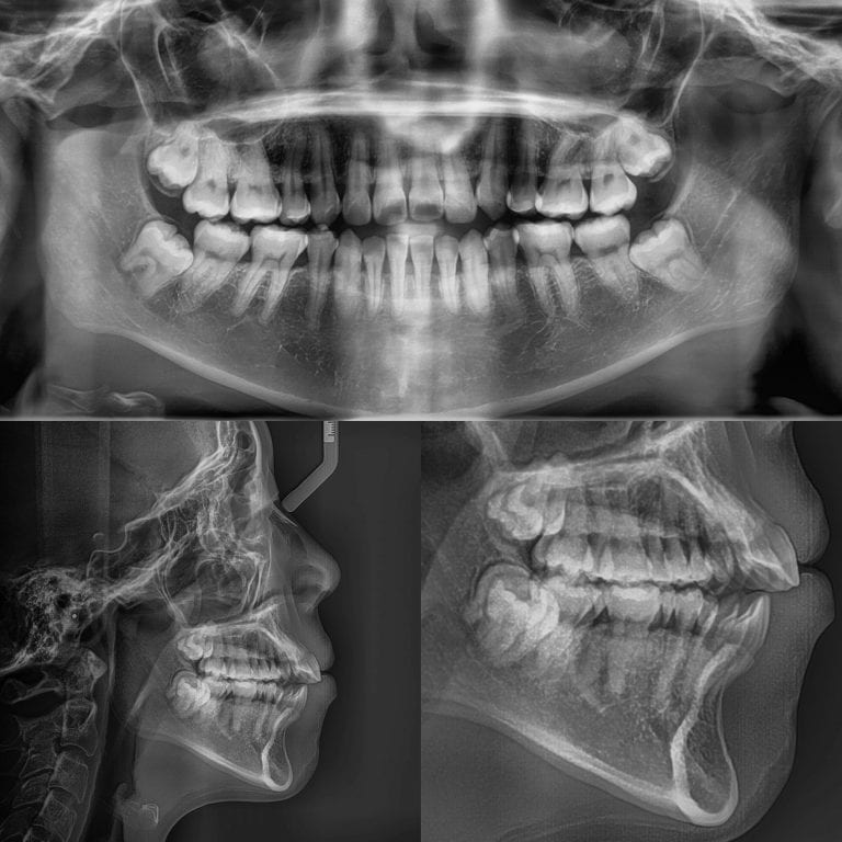
Digital X-Rays
In our office, we use digital radiography which allows us to take x-rays using 90% less radiation than conventional x-rays. This digital technique also allows us to enhance the images for better diagnosis of any dental concerns.

The Most Convenient and Safe Diagnostic Tool in Dentistry
- Merrell & Nichols Dentistry, we understand how crucial it is to get accurate and real-time diagnostics for my patients. Gone are the days when traditional x-rays are the only option for observing and diagnosing oral and dental issues. Digital x-rays are now the norm in most dental practices, including our very own Merrell & Nichols Dentistry. Not only are they safer and more efficient, but they also provide a better patient experience. With digital x-rays, we can look for changes in the teeth and jawbone, cavities, and any signs of infection or inflammation. In particular, digital x-rays allow us to spot problems that can't be seen with the naked eye, such as impacted teeth or cysts. Digital X-rays also provide us with a detailed overview of your oral health, allowing us to detect any areas of concern quickly and accurately.

Why See a General Dentist in Lubbock?
At the office of Merrell & Nichols DDS, we take pride in using the latest technologies to ensure our patients get their best care ever. In our office, we use an intraoral camera to take actual photos of teeth for patient education.
Going to the dentist doesn't have to be a chore.
Merrell & Nichols Dentistry provides the perfect way to get your oral health on the right track and ensure that you take good care of your teeth and gums. We use the latest technology at our state-of-the-art Lubbock facility, including digital x-rays. This allows us to evaluate your concerns, from common issues such as cavities or tooth sensitivity to identifying recommended treatments or procedures that could benefit your overall dental health. Whether it’s regular check-ups, preventive cleanings, or simple fillings, we can help identify potential problems and provide you with an effective plan for maintaining bright, healthy smiles for yourself and your whole family. By working with Dr. P’Jay Merrell, you can ensure that your teeth remain in tip-top shape at every step! In this blog, let me share why digital X-rays are the way to go in modern dentistry.

Less Radiation Exposure
Traditional X-rays are used to emit radiation that can pose health risks if delivered in high doses. Our digital X-rays use 90% less radiation than conventional x-rays. One of the most critical benefits of digital X-rays is the minimum radiation exposure they provide.
Faster Results
Gone are the days when patients have to wait a couple of days to get X-ray results. With digital X-rays, they are readily available almost instantly as the images are sent directly to a computer for review. Digital X-rays can also be zoomed in or enhanced, making it easier to see and diagnose potential dental issues.
Environmentally Friendly
Digital X-rays are more environmentally friendly as they eliminate the need for chemical film development and disposal. Also, a single digital X-ray machine can replace multiple outdated X-ray machines, occupying less space and reducing energy consumption.
Enhanced Patient Experience
Digital X-rays reduce the need for retakes, which are often a result of poor image quality in traditional X-rays. Additionally, digital X- ray images can be shared with patients' healthcare providers, making communicating the necessary treatments and procedures easier.
Superior Diagnostics
Digital X-rays provide superior diagnostic capabilities compared to traditional X-rays. The high-resolution images offer more detailed information on the teeth, jaw, and surrounding tissues. As a result, dentists can identify dental issues earlier and determine the best course of action for effective treatment.
Digital X-Rays in Lubbock, Texas
At Merrell & Nichols Dentistry, we utilize the latest technology to provide convenient, safe, and accurate dental care for our patients. If you're looking for a dental practice who prioritizes modern and efficient dental care, look no further than Merrell & Nichols Dentistry. Digital X-rays have revolutionized the way we approach dental diagnostics. They allow us to enhance diagnostic images for a better understanding of any dental concerns. Give us a call today, and let our friendly and experienced team take care of all your dental needs.