Technology
Dental technology has come a long way in recent years, and the advancements have transformed the industry. These innovations have allowed more precise and efficient treatments, from digital imaging to laser dentistry. We stay current on the latest quality dental technologies essential to providing the best care for our patients. That’s just one reason why if you’re looking for the best dentist in Lubbock, Texas, we invite you to schedule a consultation with Dr. P’Jay Merrell!

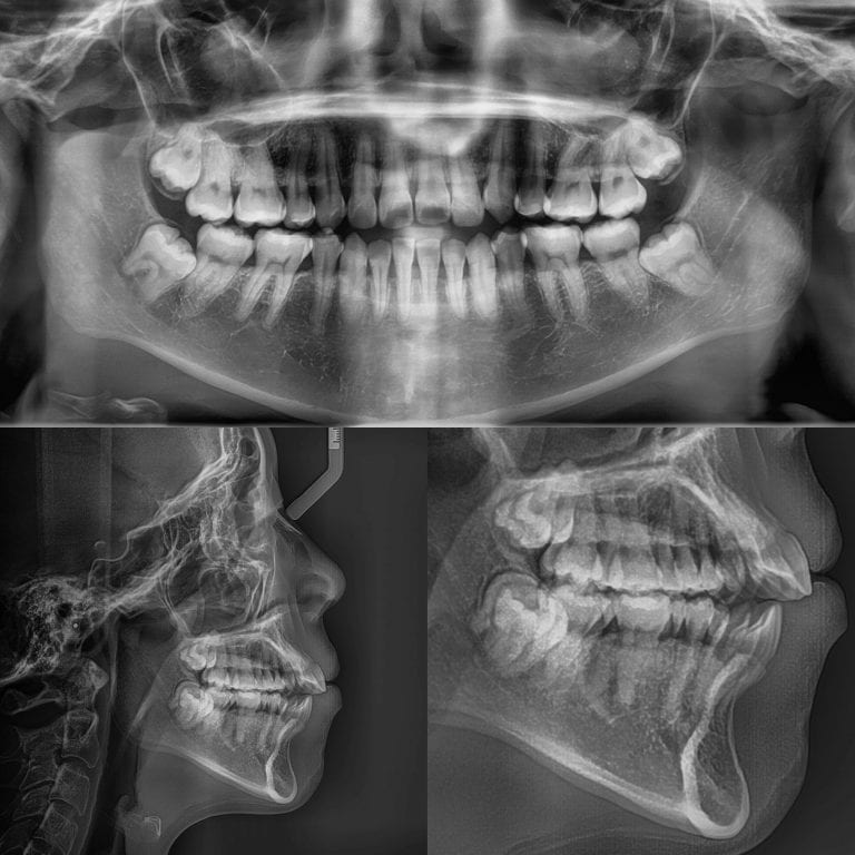
i-CAT 3D Imaging: What is it?
- A front-runner technology in 3D imaging is i-CAT, an advancement in dental X-rays. i-CAT produces 3D CT scans to provide images of the entire mouth structure, hard and soft tissues, and the surrounding facial structures. Dental practitioners rely heavily on clear and accurate images to diagnose dental problems and provide precise treatment, and i-CAT 3D imaging offers superior imaging capabilities. It produces less harmful doses of radiation than traditional X-rays while producing multi-angled data images, allowing dental practitioners clear and comprehensive views of patients’ mouths.
M2 ZirconZon milling
- At Merrell & Nichols Dentistry, we utilize cutting-edge technology to ensure precise and efficient dental care. With our state-of-the-art 3Shape scanner, we capture detailed digital impressions of your teeth, eliminating the need for messy traditional molds and ensuring accurate results for various dental procedures. Our M2 ZirconZon milling unit allows us to craft high-quality zirconia restorations with exceptional precision, ensuring durable and natural-looking outcomes. Additionally, our in-house lab is equipped to handle 75% of our dental work, including hybrids, all posterior crowns, nightguards, and temporaries. This streamlined process enables us to provide timely and customized solutions tailored to your specific needs. For removables and FMR, we partner with trusted external labs, ensuring comprehensive care and outstanding results for every patient. Trust Merrell & Nichols Dentistry for advanced technology and exceptional dental services tailored to your individual needs.

Benefits of i-CAT 3D Imaging
Complete and Accurate View
i-CAT technology gives dental practitioners a precise and vivid view of patients’ teeth, bone structure, soft tissues, and airways. This results in more straightforward diagnosis and treatment planning, more accurate implant placement, and shorter treatment times. This is particularly important when dealing with complex cases like common problems of airway extraction.

Reduction of Radiation
The significant reduction in radiation exposure in 3D imaging is a welcome benefit to patients. Modern technology allows for lower doses of radiation to be produced than traditional X-ray machines, creating a negligible amount of radiation risk for patients. Dental practitioners, Oral Surgeons, and Endodontists can now practice dentistry without fearing exposing their patients to harmful radiation. This is why we proudly offer i-CAT 3D imaging at our dental office, as exposing radiation to our clients during their dental treatment is not something we wish to do while promising the best care.
Efficient Dental Appointments
In line with the overall benefits, i-CAT 3D imaging makes dental work quicker and more efficient. With traditional X-rays, patients may need to wait several minutes for the film to process, but i-CAT 3D scans only take a few quick taps on a computer to create multiple scan angles before users can access 3D images. Faster turn-around times also translate to more rapid medical intervention diagnoses, less waiting time for results, and quicker patient recovery times.
The Best Dentist in Lubbock, TX
The world has advanced in many ways, especially in that of technology. Dr. P’Jay Merrell and his team can provide the best care through technological advancements, especially in dentistry.If you are looking for the best dentist in Lubbock, Texas, visit Dr. Merrell at Merrell and Nichols Dentistry! Please schedule an appointment today, and let us help you improve, restore, or maintain your oral health!
Quality Dental Technology in Lubbock, TX
In today’s world of technology, i-CAT 3D imaging is cutting-edge in dental imaging technology. With its incredible potential, many dental practitioners worldwide have adopted the technology to provide more efficient and precise dental services to their clients. Positive patient outcomes and the drive towards technological advancement are at the forefront of modern dentistry, and i-CAT 3D imaging plays a vital role in the industry’s innovation. If you need precision and clarity in dental care, i-CAT technology is the way.Advancements in dental technology are changing how dental professionals approach treatments and care for patients. Keeping up with the latest technologies can benefit both patients and dental professionals. These tools can improve treatment outcomes, reduce recovery times, and provide more effective and efficient care.Schedule an appointment today and experience quality dental technology at Merrell and Nichols Dentistry!